肘関節を骨折したときよくおこるのがこの上腕骨顆上骨折です。 この骨折が判明した場合、手術をするケースも見られますが、 当院では手術をせずに骨折を治すような方法に取り組んでおります。 以下で、その治療の流れについて説明させていただきます。 この骨折は5~10歳代の子供さんに多く、肘関節周囲の骨折の約60%ぐらいを占めています。 骨折部は変形肘頭骨折:肘を打った、肘関節を伸ばせない、肘の痛みや腫れなど 肘頭とは 肘頭は2本ある前腕骨のうち小指側にある尺骨の肘の部分の頂点にあたり、一般的には「肘鉄」と呼ばれたりもします。Mixi骨折・リハビリ 右肘関節粉砕骨折 もうすぐ骨折してから2ヶ月になります。 MRSAに感染してしまい、16日に8回目の手術をしました。 いまだ仕事復帰はおろか、退院の見通しすら立ちません。 肘関節の骨折した方、どの程度の後遺症が残っております
ボールが投げられない 肘が曲げ伸ばし出来ない 野球肘でお悩みの方必見 すみだ整骨院 直方 飯塚 田川 八幡で整骨院なら
肘関節 骨折 分類
肘関節 骨折 分類-肘をついて転倒すると骨折しやすい「 肘頭 」という部分があります。 読み方は 肘頭骨折 「 ちゅうとうこっせつ 」です。肘関節靭帯損傷 や、 モンテジア脱臼骨折 、 鉤状突起骨折 などの合併症を伴うことも少なくありません。 「肘頭骨折」の治療法は? 「肘頭骨折」の治療方法は、 ・保存療法 ・手術療法 に大別されます。 単純な肘頭骨折で、 骨折部の転位がない場合 には、


Powerpoint プレゼンテーション Pdf Free Download
肘関節の病気と肘周辺の病気を列記します。 病名をクリックすると説明が表示されます。 ここにない場合は「 上肢の神経の障害 」「 手関節 」「 手・指 」の項目から該当する病名をお探しください。 肘部管症候群 テニス肘(上腕骨外側上顆炎) 肘内障 上腕骨顆上骨折 野球肘 変形性肘関節症肘関節前方脱臼 骨折に伴い肘関節が脱臼することもあります。 尺骨神経麻痺 肘の内側に走る神経を尺骨神経といいます。 この神経が損傷すると麻痺が起こり運動障害や感覚異常などの症状が起こります。 7.肘頭骨折と間違いやすい疾患 橈骨頭骨折肘部管症候群 10例12肘 骨折・脱臼 235例 橈骨遠位端骨折 75例76手 肘周辺骨折 39例39肘 尺骨突き上げ症候群・tfcc損傷 1例1手 マレット指 14例14指 中手骨骨折 25例27手 舟状骨骨折(偽関節、血管柄付骨移植術) 6例6手(4例4手) 月状骨・月状骨周囲
が残存していたが,肘関節の安定性が得られ経過は良好であった. はじめに Terrible triad は尺骨鉤状突起骨折と橈骨頭 骨折を合併した肘関節脱臼の概念で,不安定性 が著しいため治療に難渋することが知られてい る.今回我々は2例のterrible triad に対して肘(ひじ)関節の可動域制限(機能障害) 肘頭骨折は、肘関節の可動域制限が後遺障害として残ることがあります。 肘関節の機能障害で、後遺障害が認定される場合の等級は、第10級10号、第12級6号が多いです。 第10級10号肘粉砕骨折 舟状骨偽関節 上腕骨内顆偽関節 鏡視下手術 肘関節鏡、手関節鏡を使用して、小さな切開での手術を行っています。また、骨折などの手術でも積極的に使用して、関節面の正確な再建に努めています。 橈骨遠位端関節内骨折
日本肘関節学会雑誌22(2)15 高齢者の肘頭骨折に対するTension Band Wiring の治療成績 浅野 研一 牧野 仁美 近藤 高弘 東海病院整形外科こんにちは。 藤沢肩関節機能研究会 代表の郷間(@FujikataGoma)です。 今回は肩肘マガジンとして初めて肘関節に関する記事を投稿していきます。 実は今年の1月から始まった"肩肘マガジン"なのですが、私が『肩だけじゃなくて肘の投稿もしたい!通常、肘関節を脱臼するとじん帯を損傷します。しかし 子供の場合はじん帯ではなく肘関節に骨折が起きます 。 骨折自体の治療難易度は高くありませんが、肘関節近くに通る尺骨神経を傷つける可能性があり、骨折の程度により手術が行われます。


上腕骨遠位端骨折 じょうわんこつえんいたんこっせつ 福岡の弁護士による後遺障害 等級認定サポート


脱臼 Wikipedia
肘関節脱臼・靭帯損傷 骨折と肘関節脱臼の合併は初診時に判明する。 顆部骨折線と外側滑車稜の関係が肘の安定性にとって重要である。 外側滑車稜が顆部骨折線に含まれると、脱臼骨折とみなされる。 顆部骨折は靭帯や関節包の損傷を伴うことがある。肘の骨折とは 転倒したり、高いところから落下した時に手や肘を付くことで発症します。 子どもの転倒やスポーツでの転倒などで多く見られます。 肘の骨折の種類 肘の骨折の代表的なものは次のとおりです。肘関節脱臼は単独で起こることもありますが、骨折や靭帯損傷といった合併症がみられることもあります。 肘内障 は、前腕の外側にある橈骨の上端部分( 橈骨頭 ( とうこつとう ) )が、 輪状靭帯 ( りんじょうじんたい ) から抜け出ることで起こります。


骨折を早く治したい方は すみだ整骨院にお任せください すみだ整骨院 直方 飯塚 田川 八幡で整骨院なら


小児の肘の骨折 上腕骨顆上骨折 手術しない 骨折専門 川越qq接骨院
骨折のズレが そのまま肘関節の動きに悪影響を及ぼすということです。 肘頭骨折の症状とは? 肘頭骨折の症状としては、 まず当然ですが、肘の頭の部分の痛みです。 また、その周囲が腫れます。 肘の頭はすぐに骨が触れるくらいに 皮膚も、皮下脂肪も薄く、肘関節靭帯損傷 や、 モンテジア脱臼骨折 、 鉤状突起骨折 などの合併症を伴うことも少なくありません。 「肘頭骨折」の治療法は? 「肘頭骨折」の治療方法は、 ・保存療法 ・手術療法 に大別されます。 単純な肘頭骨折で、 骨折部の転位がない場合 には、


小児の肘関節痛 上腕骨外顆骨折とは 診断と治療 合併症 研修医 救急医のための整形外科 外傷 スポーツ医学マニュアル


右肘関節脱臼骨折のリハビリ おおにし整骨院 院長のブログ


リウマチ外来 宏洲 ひろしま 整形外科医院


野球肘 野球少年で多い肘の痛み 足立慶友整形外科


たちばな動物病院 症例


橈骨頭骨折 22 外傷と中毒 Msdマニュアル プロフェッショナル版


きわめてまれな肘頭骨端線損傷の1例 臨床雑誌整形外科 59巻3号 医書 Jp


肘頭骨折および鉤状突起骨折を合併した上腕骨外顆骨折の1例 臨床雑誌整形外科 52巻2号 医書 Jp


肘頭骨折 転倒して肘への直達外力 触診でほぼ診断可能だが 研修医 救急医のための整形外科 外傷 スポーツ医学マニュアル


骨折 捻挫の治療 にしぼり整形外科 茨城県笠間市


ヒンジ付き創外固定器を用いて治療した陳旧性肘関節脱臼の2例 臨床雑誌整形外科 59巻2号 医書 Jp


肘関節脱臼 22 外傷と中毒 Msdマニュアル プロフェッショナル版


骨折 捻挫の治療 にしぼり整形外科 茨城県笠間市


上腕骨顆上骨折 ギプスやリハビリが大切な子供の肘の骨折 藤田鍼灸整骨院


モンテジア骨折 ユーミーどうぶつ病院 佐倉市 臼井 ユーカリが丘の動物病院


強直肘の骨折 50代整形外科医の手術記録


整形外科 かつまペットクリニック 船橋市 動物病院


小児の肘関節骨折で最も多い 上腕骨顆上骨折 とは 治療 治療期間と特徴 研修医 救急医のための整形外科 外傷 スポーツ医学マニュアル


野球肘 治療 すべては患者様のために


小児の肘関節 近位橈尺関節 脱臼について 井原市 福山市 整骨院 骨折 脱臼 藤井整骨院 骨折 怪我 交通事故 後遺症 後遺障害 運動器超音波画像 エコー オステオパシー 筋膜リリース 深夜休日時間外急患 予約受付 Fujii H Okayama Jusei Or Jp 0866 62 0666


肘関節後方脱臼 手を着いてから肘の曲げ伸ばしが出来ない 藤田鍼灸整骨院


初骨折 しょんぼり快復記 肘骨折1泊手術費用は 転んだらタダでは起きられない 質素で豊か 港が見える丘の日々


肘頭骨折 ちゅうとうこっせつ 福岡の弁護士による後遺障害 等級認定サポート


足関節骨折 22 外傷と中毒 Msdマニュアル プロフェッショナル版


肘関節の拘縮について がんばらねばいかんぜよ


整形外科 神経外科 栃木県益子町 宇都宮市 伏見動物病院


肘内障 幼児に頻発する肘の外傷 はじめに 小児において 骨折や脱臼を含む外傷は肘関節周辺にも頻繁に発生します その中でも今回取り上げる肘内障は 幼児を中心に遭遇する確率が最も高い外傷の一つといわれています 身近なお子さんが実際に肘内


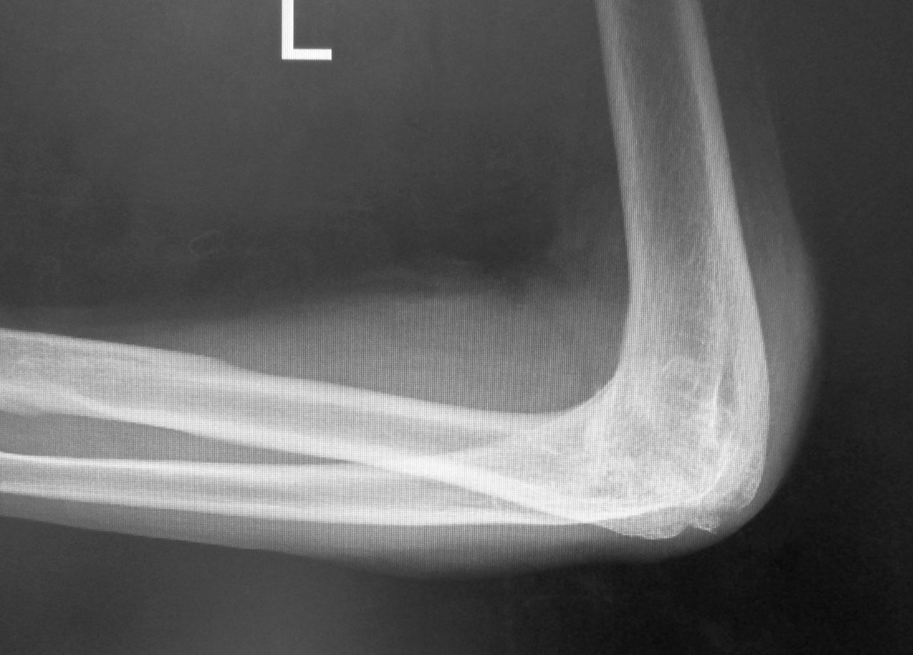
肘頭骨折 尺骨近位端骨折


上腕骨小頭骨折に肘頭骨折を合併したまれな1例 臨床雑誌整形外科 59巻11号 医書 Jp


野球肘の治療について 日本鋼管病院 こうかんクリニック 川崎市川崎区


野球肘の治療について 日本鋼管病院 こうかんクリニック 川崎市川崎区


尺骨鉤状突起骨折 しゃくこつこうじょうとっきこっせつ 福岡の弁護士による後遺障害 等級認定サポート


橈骨頭 頚部骨折 とうこっとう けいぶこっせつ 福岡の弁護士による後遺障害 等級認定サポート


たちばな動物病院 症例


整形外科 神経外科 栃木県益子町 宇都宮市 伏見動物病院


野球肘 Sports Medicine Library ザムスト Zamst


成長期のお子さんのスポーツ外傷 その2 整形外科医の日常診療から


変形性肘関節症


整形外科 かつまペットクリニック 船橋市 動物病院


救急外来での肘関節外傷 骨折のための解剖 研修医 救急医のための整形外科 外傷 スポーツ医学マニュアル


モンテジア骨折 ユーミーどうぶつ病院 佐倉市 臼井 ユーカリが丘の動物病院


ボールが投げられない 肘が曲げ伸ばし出来ない 野球肘でお悩みの方必見 すみだ整骨院 直方 飯塚 田川 八幡で整骨院なら


ボールが投げられない 肘が曲げ伸ばし出来ない 野球肘でお悩みの方必見 すみだ整骨院 直方 飯塚 田川 八幡で整骨院なら


上肢装具とは


肘関節の複雑脱臼骨折から2ヶ月が経過 何しろ1日1投稿がモットーの瓦版ブログです


フェレットの肘関節脱臼 井本稲毛動物クリニック 千葉県千葉市稲毛区の動物病院


肘関節脱臼 ちゅうかんせつだっきゅう 福岡の弁護士による後遺障害 等級認定サポート


肘関節脱臼 骨折 田中獣医科病院


上腕骨外顆骨折では皮切位置が重要 整形外科医のブログ


ボールが投げられない 肘が曲げ伸ばし出来ない 野球肘でお悩みの方必見 すみだ整骨院 直方 飯塚 田川 八幡で整骨院なら


骨折 捻挫の治療 にしぼり整形外科 茨城県笠間市


高齢者の上腕骨遠位部骨折に肘関節脱臼を合併した1例 臨床雑誌整形外科 69巻5号 医書 Jp


超音波画像観察 橈骨頭部 頸部の骨折症例報告 公益社団法人日本柔道整復師会学生応援サイト


Powerpoint プレゼンテーション Pdf Free Download


Amazon 肘サポーター ひじ 肘サポート 肘用 伸縮性 肘サポーター 肘の固定 肘関節保護 怪我防止 フリーサイズ 左右兼用 左右兼用 男女兼用 肌色 1枚入espcheap Espfree ひじ用


毎日の記事


放射線科情報ポータル Rad Fan Online ラドファン オンライン 医学出版社メディカルアイ Blog Archive 戸畑共立病院 Ct Image Report Case 2 小児の肘頭骨折精査


中手骨頸部骨折 母指を除く 22 外傷と中毒 Msdマニュアル プロフェッショナル版


足関節骨折 22 外傷と中毒 Msdマニュアル プロフェッショナル版


24 肘内側側副靱帯損傷 ひじないそくそくふくじんたいそんしょう 交通事故後遺症の法律相談は被害者側専門弁護士 東京渋谷法律事務所


肘関節における前方fat Pad の正常像と 前方fat Pad Sign 関節内血腫 水腫陽性像 Ppt Download


動画で見る 肘関節脱臼 後方脱臼 の整復法 Snowaid Com


整形外科 神経外科 栃木県益子町 宇都宮市 伏見動物病院


泊駅西 整形 ホームページ 日本初 返金制度導入


肘関節脱臼 診断 整復とも容易 併発する骨折に注意 研修医 救急医のための整形外科 外傷 スポーツ医学マニュアル


ボールが投げられない 肘が曲げ伸ばし出来ない 野球肘でお悩みの方必見 すみだ整骨院 直方 飯塚 田川 八幡で整骨院なら


橈骨遠位部骨折 22 外傷と中毒 Msdマニュアル プロフェッショナル版


肘頭骨折 ちゅうとうこっせつ 弁護士による交通事故相談 弁護士法人前島綜合法律事務所


症例 骨折 Part 3


肘頭骨折 尺骨近位端骨折


変形性肘関節症の診断と治療について 岐阜市の整形外科 森整形外科


肘頭骨折 肘関節を伸ばせない 肘の痛みや腫れ 藤田鍼灸整骨院


肘頭粉砕骨折後の変形癒合に対して尺骨鉤状突起anteromedial Facetの骨切り術を行った1例 臨床雑誌整形外科 68巻2号 医書 Jp


小児上腕骨顆上骨折における超音波観察 さくら あい針灸整骨院blog 肩こり 腰痛 膝の痛みなどでお困りの方へ


肘頭骨折 尺骨近位端骨折


モンテジア骨折 肘の脱臼骨折 脱臼を見逃す 札幌 佐々木勲 クラーク病院


原因と症状 治療法


整形外科 神経外科 栃木県益子町 宇都宮市 伏見動物病院


肘関節脱臼 骨折 田中獣医科病院


上腕骨滑車骨折の1例 臨床雑誌整形外科 59巻13号 医書 Jp


たちばな動物病院 症例


プライマリケアのための関節のみかた 上肢編 中 肘のみかた 臨床医学講座より 医科 学術 研究 兵庫県保険医協会


天使のはね接骨院 八幡山 交通事故 整体 骨盤矯正 スポーツ傷害等 骨折 脱臼


症例集 右上腕骨 顆上骨折 ヒビ 急患できた太田市の患者さん かわうちはり灸整骨院 太田市 足利市


全治3ヶ月の重傷骨折を負ってから1ヶ月目 何しろ1日1投稿がモットーの瓦版ブログです


0 件のコメント:
コメントを投稿